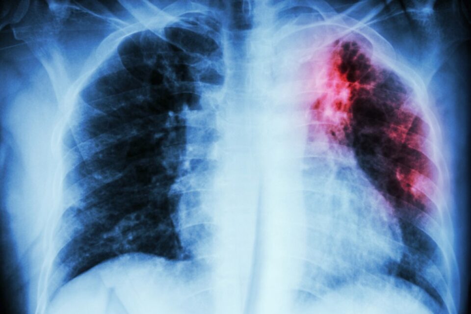
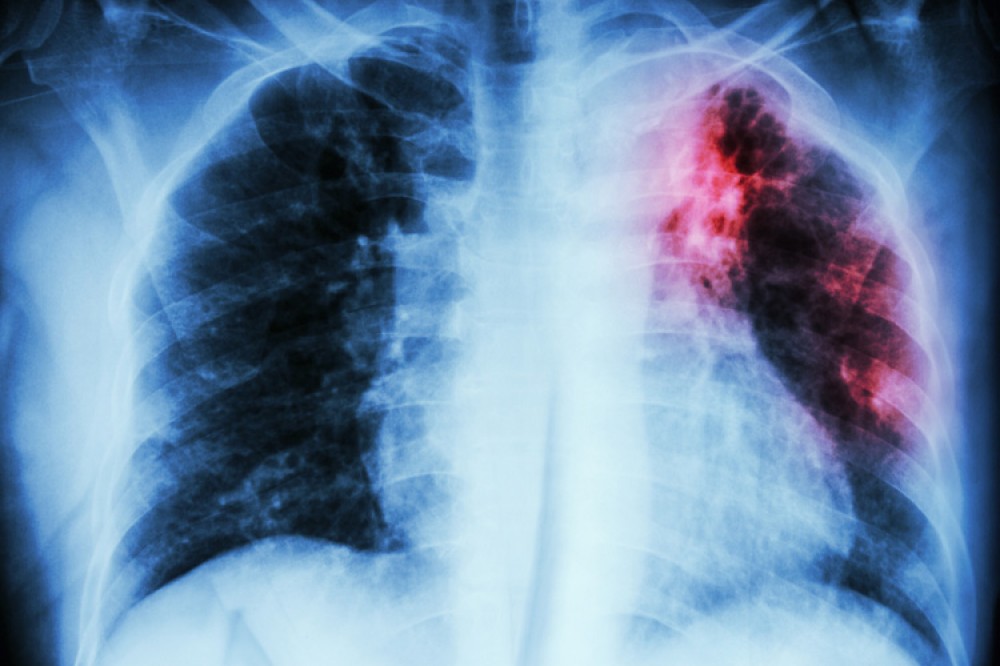
Azərbaycanda vərəmə yoluxma sayı azalmaqdadır
Azərbaycanda vərəmə yoluxma sayı azalmaqdadır.
Yenicag.az xəbər verir ki, bunu Səhiyyə Nazirliyi Elmi-Tədqiqat Ağciyər Xəstəlikləri İnstitutunun direktoru İradə Axundova deyib.
Onun sözlərinə görə, hazırda vərəmə həm yoluxma, həm də ölüm hallarında azalma müşahidə edilir:
“Lakin təəssüf ki, vərəm hələ də cəmiyyətdə qorxu və yanlış inanclar doğuran xəstəliklərdəndir. Xəstə olduğu otaq gündə bir neçə dəfə açıq havaya verilməlidir. Xəstə öskürərkən, maskadan istifadə etməli, ünsiyyət zamanı 1–2 metr məsafə saxlamaq tövsiyə olunur. Qeyd edim ki, günəş şüaları vərəm mikrobunu öldürür. Ona görə də, otağın işıqlı və təmiz olması çox vacibdir”.












